Press ReleaseFeb | 22 | 2021
New Insights on How Inflammatory Molecule Contributes to Skin and Pancreatic Cancers
Key Takeaways
- An immune molecule called interleukin-33 can act within a cell’s nucleus to stimulate abnormal growth and division, ultimately resulting in cancer
- Targeting interleukin-33 in the nucleus may help prevent certain cancers
BOSTON – Chronic inflammation drives the development of various cancers, including those of the skin, colon and pancreas. Investigators at Massachusetts General Hospital who previously demonstrated high expression levels of an immune molecule called interleukin-33 (IL-33) during cancer-promoting inflammation have now uncovedered the details behind the molecule’s effects. The research, which is published in The EMBO Journal, could lead to new strategies to prevent certain cancers.
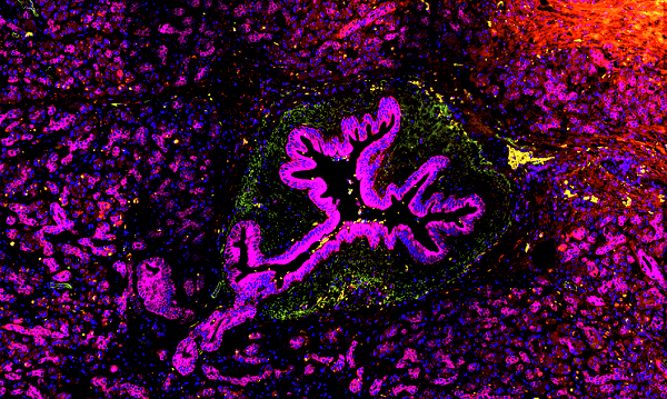
Pancreatic cells can become cancerous (magenta) when an inflammatory molecule called IL-33 activates signals within the pancreatic cells that promote their abnormal growth. Image: Jong Ho Park, PhD.
When epithelial cells that line the surfaces of the body are stressed or injured, they release IL-33 to alarm the immune system, leading to a robust inflammatory response. In addition to being secreted from cells, IL-33 also acts within a cell’s nucleus, where it may affect the expression of genes. A team led by Shawn Demehri, MD, PhD, director of the High Risk Skin Cancer Clinics and Center for Squamous Cell Carcinoma of the Skin at the Mass General Cancer Center, conducted experiments in epithelial cells of the skin and pancreas, as well as in mice, to determine whether IL-33’s actions in the nucleus may contribute to cancer.
The researchers found that activating nuclear IL-33 in chronic inflammatory conditions of the skin and pancreas modifies a signaling pathway (called SMAD) within cells to stimulate abnormal cell growth and division, ultimately resulting in cancer. Therefore, inhibiting the expression and/or function of IL-33 within the nucleus of cancer-prone cells may help prevent cancers associated with inflammation.
“Our research has led to the discovery of a new mechanism by which immune factors can cause cancer development, and our findings point to a novel target for cancer prevention in chronic inflammation,” says Demehri, who is also associate professor of dermatology at Harvard Medical School.
Investigators on the team were supported by the National Research Foundation of Korea; the Howard Hughes Medical Institute; the Burroughs Wellcome Fund; the Arthur, Sandra and Sarah Irving Fund for Gastrointestinal Immuno-Oncology; the Sidney Kimmel Foundation; and the National Institutes of Health.
About the Massachusetts General Hospital
Massachusetts General Hospital, founded in 1811, is the original and largest teaching hospital of Harvard Medical School. The Mass General Research Institute conducts the largest hospital-based research program in the nation, with annual research operations of more than $1 billion and comprises more than 9,500 researchers working across more than 30 institutes, centers and departments. In August 2020, Mass General was named #6 in the U.S. News & World Report list of "America’s Best Hospitals."
-
![]()
- Associate Professor of Dermatology, Harvard Medical School
- Director, High Risk Skin Cancer Clinic
Type
Centers and Departments
Mass General Research Institute
Our research integrates the full spectrum of "bench to bedside" discovery where lab scientists work alongside clinicians to improve patient care.
Mass General Brigham Cancer Institute
Mass General Brigham Cancer Institute provides expert care for every type of cancer, from the rarest and most complex.
