• skip to Cookie Notice
  • skip to Main Navigation
  • skip to Main Content
  • skip to Footer

Weather AlertMass General Brigham is monitoring the weather's impact on our services. For real-time updates and service changes, please check our Alerts page.View Alerts page

    • English
    • Español
    • 中文
    • العربية
    • Find a Doctor
    • Find a Location
    • Appointments & Referrals
    • Patient Gateway
    • Give Now
Massachusetts General Hospital logo
  • The Mass General Difference

    We have remained at the forefront of medicine by fostering a culture of collaboration, pushing the boundaries of medical research, educating the brightest medical minds and maintaining an unwavering commitment to the communities we serve.

    • About Us
    • News & Media Coverage
    • Locations
    • Leadership Team
    • Quality & Safety
    • Workforce Enrichment & Engagement
    • Community Health
    • Education & Training
    • Centers & Departments
    • Give Now
    Mass General building with the U.S. News and World Report "Best Hospitals Honor Roll 2025-26" badge overlaid
    Mass General is recognized as a top hospital on the U.S. News & World Report Best Hospitals Honor Roll for 2025-2026.
  • Conditions & Treatments

    We offer diagnostic and treatment options for common and complex medical conditions.

    Search for condition information or for a specific treatment program.

    • Browse Treatments
    • Browse Conditions A-Z
    Centers and Departments
    • Anesthesia, Critical Care & Pain Medicine
    • Cancer Institute
      • Mass General Brigham Cancer Institute
    • Dermatology
    • Digestive Healthcare Center
    • Emergency Medicine
    • Heart Center
    • Imaging
    • Medicine
    • Neurology
    • Neurosurgery
    • Nursing & Patient Care Services
    • Obstetrics & Gynecology
    • Ophthalmology
      • Mass Eye & Ear
    • Oral & Maxillofacial Surgery
    • Orthopaedic Surgery
    • Otolaryngology (ENT)
      • Mass Eye & Ear
    • Pathology
    • Pediatrics & Pediatric Surgery
      • Mass General Brigham for Children
    • Pharmacy
    • Physical Medicine & Rehabilitation
    • Primary Care
    • Psychiatry
    • Radiation Oncology
    • Social Work
    • Sports Medicine
    • Surgery
    • Transplant Center
    • Trauma Center
    • Urology
    • Vascular Center
  • Patients & Visitors

    We are committed to providing expert care—safely and effectively. Let us help you navigate your in-person or virtual visit to Mass General.

    • Coming to Mass General
    • Flu, COVID-19, & RSV
    • Virtual Visits
    • Visitor Policy
    • International Patients
    • Becoming Our Patient
    • Appointments & Referrals
    • Find a Doctor
    • Patient Gateway
    • Medical Records
    • Billing, Insurance & Financial Assistance
    • Privacy & Security
    • Patient Experience
    • Visitor Info
    • Find a Location
    • Maps & Directions
    • Parking & Shuttles
    • Services & Amenities
    • Accessibility
  • Research & Innovation

    At Mass General, the brightest minds in medicine collaborate on behalf of our patients to bridge innovation science with state-of-the-art clinical medicine.

    • About the Research Institute
    • Departments & Centers
    • News & Events
    • Industry Collaborations
    • Innovation Programs
    • Education & Community Outreach
    • Clinical Trials
    • Support Our Research
    • Contact Us
    • Find a Researcher
    Research Innovation
    Mass General operates the largest hospital-based research program in the United States
  • Search
  • Find a Doctor
  • Find a Location
  • Appointments & Referrals
  • Patient Gateway
  • Contact Us
  • Language
    • Español
    • 中文
    • العربية

  • The Mass General Difference
    • About Us
    • Leadership Team
    • Quality & Safety
    • Workforce Enrichment & Engagement
    • Community Health
    • Education & Training
    • Centers & Departments
    • Give Now
  • Conditions & Treatments
    • Browse Treatments
    • Browse Conditions A-Z
    • View All Centers & Departments
    • Clinical Trials
    • Cancer Clinical Trials
  • Centers & Departments
    • Mass General Brigham Cancer Institute
    • Digestive Healthcare Center
    • Heart Center
    • Mass General Brigham for Children
    • Neuroscience
    • Orthopaedic Surgery
    • Urology
    • View All Centers & Departments
  • Patients & Visitors
    • Your Visit
    • Information for Visitors
    • Maps & Directions
    • Parking & Shuttles
    • Services & Amenities
    • Accessibility
    • Visiting Boston
    • International Patients
    • Medical Records
    • Billing, Insurance & Financial Assistance
    • Privacy & Security
    • Patient Experience
  • Research & Innovation
    • Explore Our Laboratories
    • Industry Collaborations
    • Research & Innovation News
    • About the Research Institute
    • Innovation Programs
    • Education & Community Outreach
    • Support Our Research
    • Find a Researcher
  • Education & Training
  • Careers
  • News & Events
  • Ways to Give
  • View All Centers & Departments
  • Patient Rights & Advocacy
  • Privacy & Security
  • Notices
  • Website Terms of Use
  • Apollo (Intranet)

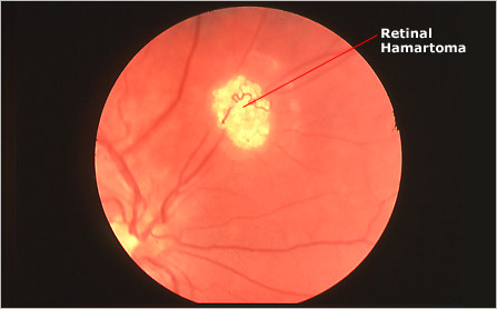
Herscot Center for Tuberous Sclerosis Complex

  • Find a Doctor
  • Appointments & Referrals
  • Give Now
  • Contact Us
    • Overview
    • Our Team
    • Support Us
  • Treatments & Services
  • Patient Stories
  • Patient & Caregiver Education
  • Research
    • Like us on Facebook
    • See us on LinkedIn
    • Follow us on Twitter
    • Print this page

    • Like us on Facebook
    • See us on LinkedIn
    • Follow us on Twitter
    • Print this page
    ×

    We use cookies and other tools to enhance your experience on our website and to analyze our web traffic. For more information about these cookies and the data collected, please refer to our Privacy Policy.

    Massachusetts General Hospital  logo
    Massachusetts General Hospital
    55 Fruit Street
    Boston, MA  02114
    • Find a Location
    • Contact Us
    • Find a Location
    • Contact Us
    • Education & Training

      Explore fellowships, residencies, internships and other educational opportunities. 

    • Careers

      Learn about career opportunities, search for positions and apply for a job.

    • News & Events

      Get the latest news, explore events and connect with Mass General.

    • Ways to Give

      Learn about the many ways you can get involved and support Mass General.

    • Centers & Departments
      • Anesthesiology
      • Cancer Institute
        • Mass General Brigham Cancer Institute
      • Dermatology
      • Digestive Health Care
      • Emergency Medicine
      • Heart Center
      • Imaging
      • Interventional Radiology
      • Medicine
      • Neurology
      • Neurosurgery
      • Nursing & Patient Care Services
      • Obstetrics & Gynecology
      • Ophthalmology
        • Mass Eye and Ear
      • Orthopaedic Surgery
      • Otolaryngology (ENT)
        • Mass Eye and Ear
      • Pathology
      • Pediatrics & Pediatric Surgery
        • Mass General Brigham for Children
      • Physical Medicine & Rehabilitation
      • Primary Care
      • Psychiatry
      • Radiation Oncology
      • Social Work
      • Surgery
      • Transplant Center
      • Trauma Center
      • Urology
      • Vascular Center
    • Harvard Medical School Teaching Hospital - logo
    • Massachusetts General Physicians Organization - logo
    • Mass General Brigham logo
    • Proto magazine logo

    Copyright © 2007-2026. The General Hospital Corporation.

    • Employee Intranet
    • Patient Rights & Advocacy
    • Privacy & Legal Notices
    • Price Transparency
    • Website Terms of Use
    Top