Mass General Brigham Cancer Institute
Bone & Spine Metastasis Program


Contact Information
If you have specific questions about the Bone & Spine Metastasis Program, please contact us at 617-726-2222.
Explore the Bone & Spine Metastasis Program
Overview
We provide personalized, multidisciplinary, team-oriented care for patients whose cancer has spread (metastasized) to their bones. Metastatic cancer, or metastases, is cancer that has spread to a part of your body different from where the cancer started. When cancer spreads to bone it can cause pain, loss of joint motion, difficulty walking, and even fracture, which can disrupt many activities of daily life.
Our goals are to improve and protect our patients’ quality of life through expert management of bone metastases. Our specialists are committed to providing innovative, compassionate care to patients and their families as they strive to live well despite the challenging diagnosis of metastatic cancer.
Unique Program to Provide Team-Oriented Care
- Our program ‘has no walls’. We provide timely in-person care as well as virtual care, which is important if you are in pain or have limited mobility.
- We streamline the consultation process and ensure that your clinical care is provided by sub-specialist(s) most closely associated with your specific needs.
- We aim to make treatment decisions promptly, to provide you with efficient and high-quality care, and to communicate well with both you and your existing oncology team.
- We welcome patients from throughout New England and beyond.
- We do not replace your existing oncology team. Instead, we join that team and provide expert multi-disciplinary care for the unique problems that can be caused by bone metastases.
How Does Metastatic Disease Develop?
Metastases occur when cancer cells from your original (primary) tumor enter your bloodstream or lymphatic system and spread to a new area where they settle and grow. When this happens in bone, it can cause symptoms such as pain, trouble walking, nerve compression, or fracture.
Who is this Program Designed For?
Patients with any type of cancer that has spread to bone can receive care from our team. We care for patients with prostate cancer, breast cancer, multiple myeloma, lymphoma, lung cancer, kidney cancer and others.
Some patients have symptoms or a fracture already. Other patients haven’t developed those problems, but their existing oncology team is worried that they will. We welcome referrals for help with any of these situations, regardless of whether or not you have previously received care within our local Mass General Brigham network.
Program Logistics
Once we receive your referral, we will reach out to you and your existing oncology team. We strive to reach out to you the same day you contact us. We will then schedule you to be seen as soon as possible either in-person or by virtual visit. Meanwhile, our team will carefully review your medical details and relevant imaging in preparation for your visit. You will be seen by the sub-specialist(s) with skills relevant to your personal treatment plan based on your specific symptoms and medical details. We place a high priority on scheduling visits as soon as possible as we sometimes need to take urgent action to prevent a fracture.
Innovative Multidisciplinary Approach
Our multidisciplinary team evaluates your medical details, symptoms, exam, and imaging. We take ownership of your unique bone-centered problem, help you understand all management options, and make a plan that can address your problem. With our patient-centered care, you can expect:
- Coordinated evaluation by bone/spine-focused sub-specialists
- Surgical, radiation, and image-guided treatments
- Scheduling within one week
- Ongoing communication with your existing oncology team; we work together!
The bone specialists in this program are both clinicians and researchers who investigate: (a) how metastases differ from original tumors at the molecular and genetic level; (b) why some types of cancer aggressively spread more so than others; and (c) the best treatment options which differ from the original treatment plan.
Clinical Trials
Mass General Brigham Cancer Institute is a leader in patient-oriented research relevant to cancer care. Important categories of ongoing research are:
- Patient-reported outcomes for patients undergoing spine surgery and/or radiation
- Clinical trials using targeted therapies, immunotherapy, and other innovative approaches to the treatment of cancer
- Radiation oncology techniques, science, and outcomes
Meet the Team
Our dedicated multidisciplinary team provides personalized care to patients with cancer that has spread (metastasized) to bone anywhere in the body. Team members include musculoskeletal radiologists, radiation oncologists, and surgeons from relevant specialties including orthopaedic oncology and neurosurgery. Each patient is evaluated and cared for by this team of experts with emphasis on managing sites of significant bone-metastatic cancer.
Treatment of Metastatic Cancer
All treatment options are designed to improve and protect your quality of life. Our goals are to prevent bone fractures, stabilize fractures that have already happened, relieve pain, and promote mobility. Treatment can include surgery, radiation, image-guided interventional procedures, systemic treatment (chemotherapy, immunotherapy, clinical trials), or combinations of these treatments.

A. Femur that had been weakened by a metastasis but has been repaired surgically with an intramedullary nail (appears white on this x-ray). B. Left tibia (bottom portion of the knee joint) that has been surgically restored to function. It was debulked, cemented, and fixed with hardware.

Metastatic NSCL carcinoma - ORIF with carbon fiber plate and cement augmentation (1A, 1B before; 2A, 2B after).

1A. Pre-surgery x-ray of a humerus (upper arm) with a displaced spiral fracture (arrow) resulting from cancer. 1B. Post-operatively, that same humerus has been returned to stability and function with an intramedullary nail that spans the length of the bone (white on the x-ray).

2A. Pre-operative x-ray of a humeral head (“ball” portion of the shoulder joint) that has fractured (arrow) due to cancer. 2B. Post-operative images of that same bone after open reduction and internal fixation with alignment of the fractured bone then stabilization using hardware (appears black).

A. This patient is being positioned within the linear accelerator to receive stereotactic radio-surgery (SRS), a form of external beam radiation. B & C. Cross section and side views of the treatment plan. Each color overlay represents a specific dose of radiation to be delivered to that area.

Cryoablation is a technique to relieve pain. It uses image guidance to place a cooling probe within a bone metastasis. In this case, it is a femur metastasis just above the knee joint (A & B). Once positioned (C & D), the probe is cooled so that the cancer is ablated through freezing.

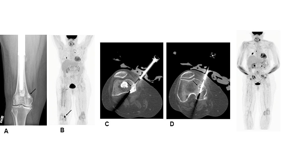
Radiofrequency ablation (RFA) is a technique to relieve pain and restore function. When a deposit of tumor is identified by PET (A, arrow) or MRI (B, arrow), image guidance is used to place an RFA needle probe within it. In this case, the probe (C, arrow) ablates that tumor tissue through heat.

Interventional radiologists Connie Chang, MD and Alexis Cahalane, MD
Patient Resources
Supportive Care
We offer a variety of support resources to help you throughout your cancer experience.
Orthopaedic Oncology Service
Learn about the Mass General Orthopaedic Oncology Service.
Neurosurgical Spine Service
Learn about the Neurosurgery Spine Program at Mass General.
Central Nervous System Program
Learn about the Radiation Oncology CNS program.
Radiation Oncology Sarcoma Program
Learn about the Sarcoma Program in the Department of Radiation Oncology.
Interventional Radiology
Learn about Interventional Radiology at Mass General.
Frequently Asked Questions
Q: Do I already have to be a Mass General Brigham Cancer Institute patient to be seen in this clinic?
A: No. We welcome all patients regardless of whether you have been seen at Mass General Brigham Cancer Institute before. Many of our patients come from outside of the Boston metro area. Requests can come from patients (self-referrals) or from their medical teams. Our mission is to provide team-oriented subspecialist care for metastatic cancer problems throughout the New England region and beyond.
Q: Does referral to this metastatic program mean that I will lose my current oncology team?
A: No. We strongly value continuity with your existing oncology team. We are happy to "own” the metastatic aspects of your care, but we intend for this to be an integrated complement to the work of the providers you already know well. We communicate all important updates back to that team.
Q: How do I make sure that my records and imaging/scans are available before the consult?
A: After you reach out to us (by phone, website, or email), we will take the lead in obtaining the necessary documentation. At times, we may need your help obtaining imaging disks; we will ask you for that help if needed.
Q: How can I contact the bone and spine metastasis program?
A: You can reach us at 617-726-2222.
Q: What is Patient Gateway and how can I sign up?
A: Patient Gateway is an online portal. It is a convenient, efficient, and secure way to look at your medical records, request medication refills, request appointments and scheduling changes, and to communicate with us. Please ask any of our schedulers to help you sign up during your check-out. Or, log onto the website for instructions on how to enroll.
Q. How often do I need to be seen?
A. This depends on the type of surgery or radiation or interventional procedure you have. Our goal is to help you with your bone-related problem while allowing you to continue to get your care with your existing oncology team.
Leaders in Proton Therapy
Mass General Brigham Cancer Institute has the only proton therapy site in all of New England, with two proton therapy centers.
Supportive Care Services
Our support programs can help patients and their families cope with the challenges of a cancer diagnosis.
Contact the Bone & Spine Metastasis Program
Our program provides personalized, multidisciplinary, team-orientated care for patients whose cancer has spread (metastasized) to their bones.