Traffic AdvisoryEversource will be performing ongoing infrastructure repairs along Cambridge St. near
Mass General and Mass Eye and Ear’s main campus beginning Sunday 2/1 and continuing
for the foreseeable future. This work is expected to greatly impact traffic surrounding
the hospitals.
The Superficial Siderosis Clinic and Research Laboratory
Superficial Siderosis (SS) is a slowly progressive, chronic neurodegenerative condition
due to iron toxicity from persistent subarachnoid (the fluid-filled space between
the brain and its surrounding membranes) bleeding.
The human body has a limited capacity to rid itself of blood products in the subarachnoid space, but in ultra-rare cases, chronic or intermittent bleeding over the years leads to overwhelming amounts of toxic iron molecules there.
The internal bleeding, or hemorrhaging, that results in Superficial Siderosis can be caused by tumors, vascular abnormalities, injuries and defects in the membranes surrounding the brain. Trauma is the most common cause, which often occurs decades before symptoms begin.
Long-term exposure to the iron deposits is toxic to the brain tissue underneath resulting in:
Sensorineural hearing loss: Hearing loss caused by damage to the inner ear or the nerve from the ear to the brain. This will affect some 95% of SS patients at some point in their lives.
Ataxia: Impaired balance and coordination
Myelopathy: Severe compression of the spinal cord
The neural damage from Superficial Siderosis may be permanent, and disability will continue to progress even if an active bleed source is repaired.
Although easily identified by magnetic resonance imaging (MRI), Superficial Siderosis is often confused with other progressive neurological conditions such as Multiple Sclerosis, Parkinson’s, or Multiple Systems Atrophy. In 2014, there were only 100 known cases of Superficial Siderosis in the United States. With more precise MRI testing and the standardized diagnostic protocol, that number will rise both here and abroad.
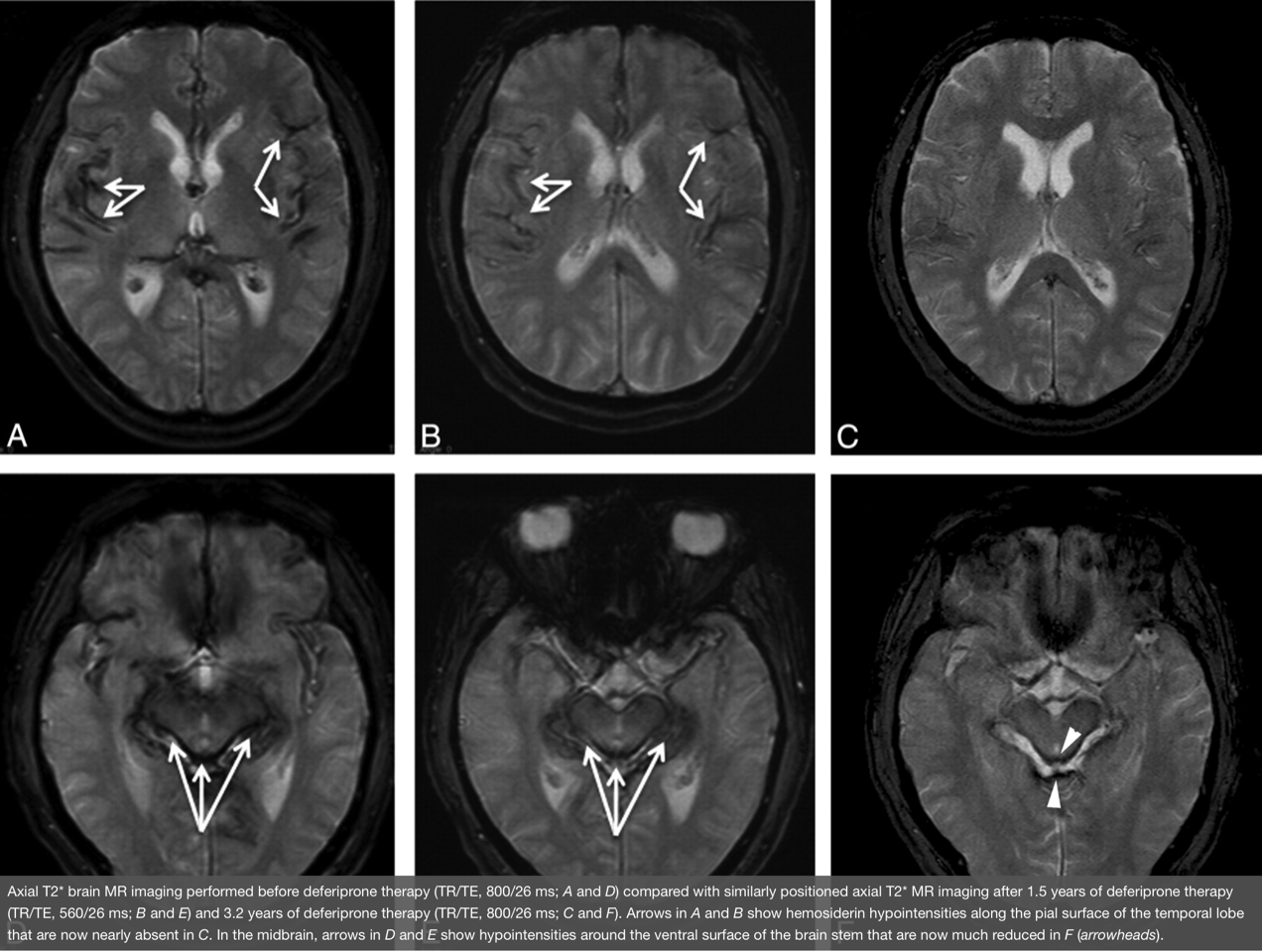
There is currently no cure for Superficial Siderosis. The only medications currently available to treat SS are oral chelation drugs, which can cross the blood-brain barrier. The best known of these medications is deferiprone (Ferriprox). Oral chelation therapy carries risks and may not be advisable for all patients. We have been testing the efficacy of deferiprone, as well as developing new MRI techniques that can assess changes in iron content in the brain.
Research Director, Division of Neuroimmunology & Neuroinfectious Disease
Director, Neuroimmunology Clinic and Research Laboratory
Our Clinical Programs
Our neurologists integrate compassionate care with innovative research and rigorous medical training.
Support the Clinic
Since Superficial Siderosis is so rare and does not have the same visibility as other neurologic conditions, the donor community plays a central role in identifying new therapies and enhancing quality of life for SS patients.