Randomized controlled trials of imaging strategies for chest pain

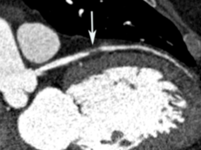
Coronary CT demonstrating severe stenosis of the left anterior descending coronary artery (arrow).
Coronary CT demonstrating severe stenosis of the left anterior descending coronary artery (arrow).

Our recently completed multicenter randomized controlled trials have established the efficacy of a coronary CT angiography-based diagnostic strategy for chest pain. The ROMICAT II trial (n=1,000) found that a CT for acute chest pain resulted in improved efficiency of clinical decision making. The PROMISE trial (n=10,000) found that a CT diagnostic strategy resulted in similar outcomes to functional testing for stable chest pain. Our current efforts focus on whether coronary plaque morphology can predict which patients are at greatest risk.

References:

  • Karády J, Mayrhofer T, Ivanov A, Foldyna B, Lu MT, Ferencik M, Pursnani A, Salerno M, Udelson JE, Mark DB, Douglas PS, Hoffmann U. Cost-effectiveness Analysis of Anatomic vs Functional Index Testing in Patients With Low-Risk Stable Chest Pain. JAMA Netw Open 2020;3:e2028312–e2028312.
  • Foldyna B, Udelson JE, Karády J, Banerji D, Lu MT, Mayrhofer T, Bittner DO, Meyersohn NM, Emami H, Genders TSS, Fordyce CB, Ferencik M, Douglas PS, Hoffmann U. Pretest probability for patients with suspected obstructive coronary artery disease: re-evaluating Diamond–Forrester for the contemporary era and clinical implications: insights from the PROMISE trial. Eur Heart J - Cardiovasc Imaging Oxford Academic; 2019;20:574–581.
  • Ferencik M, Mayrhofer T, Bittner DO, Emami H, Puchner SB, Lu MT, Meyersohn NM, Ivanov AV, Adami EC, Patel MR, Mark DB, Udelson JE, Lee KL, Douglas PS, Hoffmann U. Use of High-Risk Coronary Atherosclerotic Plaque Detection for Risk Stratification of Patients With Stable Chest Pain: A Secondary Analysis of the PROMISE Randomized Clinical Trial. JAMA Cardiol 2018;3:144–152.
  • Budoff Matthew J., Mayrhofer Thomas, Ferencik Maros, Bittner Daniel, Lee Kerry L., Lu Michael T., Coles Adrian, Jang James, Krishnam Mayil, Douglas Pamela S., Hoffmann Udo. Prognostic Value of Coronary Artery Calcium in the PROMISE Study (Prospective Multicenter Imaging Study for Evaluation of Chest Pain). Circulation 2017;136:1993–2005.
  • Douglas PS, Hoffmann U, Patel MR, Mark DB, Al-Khalidi HR, Cavanaugh B, Cole J, Dolor RJ, Fordyce CB, Huang M, Khan MA, Kosinski AS, Krucoff MW, Malhotra V, Picard MH, Udelson JE, Velazquez EJ, Yow E, Cooper LS, Lee KL, PROMISE Investigators. Outcomes of anatomical versus functional testing for coronary artery disease. N Engl J Med 2015;372:1291–1300.
  • Hoffmann U, Truong QA, Schoenfeld DA, Chou ET, Woodard PK, Nagurney JT, Pope JH, Hauser TH, White CS, Weiner SG, Kalanjian S, Mullins ME, Mikati I, Peacock WF, Zakroysky P, Hayden D, Goehler A, Lee H, Gazelle GS, Wiviott SD, Fleg JL, Udelson JE, ROMICAT-II Investigators. Coronary CT angiography versus standard evaluation in acute chest pain. N Engl J Med 2012;367:299–308.